顾春艳、杨烨教授团队深入挖掘毒性中药的抗肿瘤潜力及调控肿瘤蛋白翻译后修饰等分子机制,近期连续在国际知名学术期刊Pharmacology & Therapeutics (中科院医学一区,IF: 11.99)、Experimental Hematology & Oncology(中科院医学一区,IF: 9.4)和Advanced Science (中科院一区,IF: 14.3)发表最新成果。
2024年11月29日在Pharmacology & Therapeutics发表的“Exploring the landscape of post-translational modification in drug discovery”综述了翻译后修饰(PTMs)在增加蛋白质的多样性、参与多种分子调控机制等方面的重要作用。激酶抑制剂、表观遗传药物和蛋白质水解靶向嵌合体靶向PTMs的药物,实现了对传统药物局限性的不断突破。然而,人们对PTMs的理解仍缺乏全面的框架体系,该综述系统性地提出了针对PTMs的药物设计策略,包括直接靶向PTMs过程中的酶、靶向修饰的底物蛋白、干预底物蛋白和PTMs酶相互作用和利用多功能分子调节修饰水平等,揭示了PTMs在药物发现及精准医疗中的重要性,为药物研发与治疗策略提供了崭新的视角。
博士研究生曹宇昊为第一作者,杨烨教授、顾春艳教授、药公司李念光教授和青年教师孙善亮为共同通讯作者。太阳成集团tyc9728为第一通讯单位,受到国家自然科学基金(82274000、82173849和82103985)、江苏省高等公司重点学科发展(中西医结合)基金等项目资助。
原文链接:https://doi.org/10.1016/j.pharmthera.2024.108749

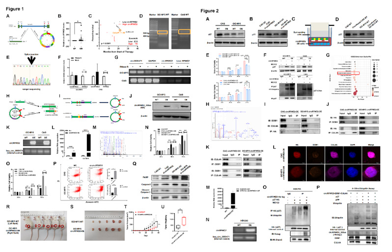
2024年11月22日在Experimental Hematology & Oncology发表题为“CUL4A-DDB1-circRFWD2 E3 ligase complex mediates the ubiquitination of p27 to promote multiple myeloma proliferation”的研究论文。前期研究发现,一种可编码环状RNA——circRFWD2 (hsa_circ_0015361)是高危多发性骨髓瘤(MM)的治疗靶点,该成果进一步发现其编码蛋白circRFWD2_369aa进入骨髓微环境影响细胞中p27表达水平,证实了circRFWD2_369aa可以与CUL4A、DDB1形成E3连接酶复合物调控MM细胞中p27的泛素化水平,并揭示其促进MM细胞恶性增殖的潜在机制。该成果从全新视角提出环状RNA发挥功能作用的途径,加深了人们对MM发病机制的理解,展现了circRFWD2(hsa_ circ_0015361)作为一种新的生物标志物的潜力,为MM精准治疗和预后评估提供了新的思路。
博士研究生闵捷为第一作者,顾春艳教授、杨烨教授为共同通讯作者。太阳成集团tyc9728为第一通讯单位,该研究受到国家自然科学基金(82173849和82274000)、江苏省高等公司重点学科发展(中西医结合)基金等项目资助。
原文链接:https://doi.org/10.1186/s40164-024-00582-8

2024年12月11日在Advanced Science发表“PNPO-mediated Oxidation of DVL3 Promotes Multiple Myeloma Malignancy and Osteoclastogenesis by Activating the Wnt/β-catenin Pathway”的研究论文。该研究成果基于“以毒攻毒”治疗恶性肿瘤的中医药理论,应用毒性中药来源的抗肿瘤活性的天然化合物——雷公藤红素(Celastrol,Cel)为探针,结合高通量高灵敏蛋白芯片、蛋白质谱等多组学技术,筛选并鉴定了与MM细胞异常增殖及骨破坏相关的致癌基因PNPO(Pyridoxine-5'-phosphate oxidase,磷酸吡哆醇氧化酶),证实PNPO氧化dishevelled 3(DVL3)蛋白M282位点增强其与GSK3β的结合,减少β-catenin泛素化降解,从而异常激活Wnt/β-catenin信号上调MYC基因表达,增强MM细胞增殖能力的作用机制。此外,该研究成果基于PNPO主要活性位点R95/K117开展老药新用的筛选,发现促血小板生成素受体激动剂艾曲波帕(Eltrombopag,Elt)可通过靶向PNPO降低其对DVL3的氧化作用,并在细胞、动物、临床水平研究中呈现出良好的抑肿瘤作用,为“以毒攻毒”理论指导MM临床治疗提供了新的科学证据。
青年教师邓振东为该论文第一作者,顾春艳教授、杨烨教授、药公司李念光教授和上海市静安区闸北中心医院周帆教授为共同通讯作者。太阳成集团tyc9728为第一通讯单位,该研究受到国家自然科学基金(82173849)、江苏省高等公司重点学科发展(中西医结合)基金等项目资助。
原文链接:https://doi.org/10.1002/advs.202407681

(撰稿人:郭梦婕;审核人:张军峰)